ایمپلنت دندان
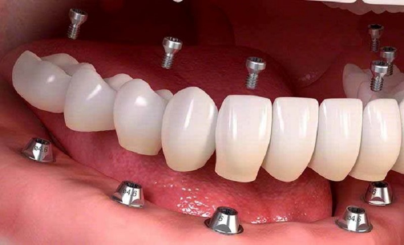
ایمپلنت دندان در استخوان فک جای گرفته و به واقع کاشته می شود. ایمپلنت در دو نوع یک تکه یا دو تکه می تواند بوده و پس از جای گرفتن پیچ آن که از جنس تیتانیوم است، تاج و ریشه را متصل می سازد. بسته به تشخیص دندان پزشک، ایمپلنت می تواند از نوع یک تکه یا دو تکه باشد.
لازم به توضیح است که به کارگیری ایمپلنت های دندانی پس از کامل شدن دندان های دائمی امکان پذیراست. در واقع کاربرد آن ها پس از آن که ریشه های دندان مورد نظر کامل شده است ممکن می باشد، چون پس از کامل شدن ریشه دندان رشد استخوان آلوئول (استخوان حول دندان) به پایان می رسد . بنابراین در موارد خاص و با رعایت اصول علمی در سنین پایین امکان انجام ایمپلنت دندانی امری ممکن است.

پیش نیازهای انجام ایمپلنت دندان
برای انجام ایمپلنت دندانی، نیاز به یک سری پیش نیازها و آمادگی در استخوان بندی و بهداشت دهانی و فک فرد بوده که در زیر به آن ها اشاره کرده ایم:
- رعایت کامل بهداشت دهان و دندان و نبودن هیچ گونه کیست یا سایر بیماری های لثه، دهان، دندان و زبان
- سلامت استخوان محل قرارگیری ایمپلنت از نظر کمیت و کیفیت استخوان
- دارا بودن حداقل۳ میلیمتر عرض استخوان محل ایمپلنت
- دارا بودن حداقل ۸ میلیمتر طول مفید استخوان محل ایمپلنت
- ضرورت وجود تیپ یک یا دو یا حداکثر 3 استخوانی البته در تیپ ۳ و۴ استخوانی انجام ایمپلنت امکان پذیر است
- دارا بودن گیر اولیه 35 تا 60 نیوتن

نکته: برای انجام ایمپلنت، نیاز به یک سری معاینات از سوی دندانپزشک بوده که باید با عکس رادیوگرافی همراه شود. در این صورت دندانپزشک می تواند تشخیص مناسبی برای انجام ایمپلنت داشته باشد.
به علاوه درک و شناخت تیپ های استخوانی فک فرد، تعیین کننده نوع ایمپلنت و روش انجام آن خواهد بود. تیپ های استخوانی افراد از تیپ شماره 1 تا تیپ شماره 5 متغیر بوده و به همان نسبت، ایمپلنت گذاری و ترمیم دندان های از دست رفته، انجام خواهد شد.
دکتر مهدی سزاوار متخصص ایمپلنت دندان