2777
2789
عنوان

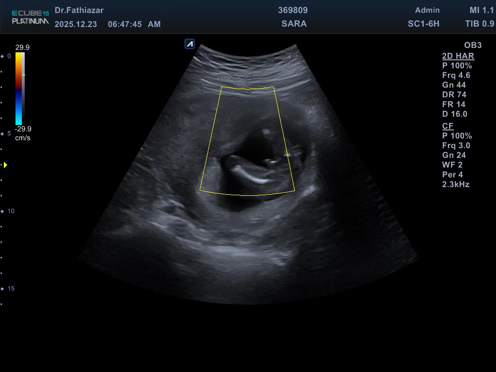
سلام به نظرتون این پسره یا دختر

148 بازدید | 20 پست

سلام به نظرتون جنسیت بچه پسر یا دختر چون میگن امکان داره اونی وسط پاهاشه میتونه دست یا ناقض باشه دکتر بهم گفته پنجاه درصد احتمال پسره

بچه ها باورتون نمیشه!  برای بچم از «داستان من» با اسم و عکس خودش کتاب سفارش دادم، امروز رسید خیلی جذذذابه، شما هم برید ببینید، خوندن همه کتابها با اسم بچه خودتون مجانیه، کودکتون قهرمان داستان میشه، اینجا میتونید مجانی بخونید و سفارش بدید.

حس میکنم میخوای پسر باشه 😕

خدا همیشه بهترینهاشو به کسایی میده که در انتخاب‌هاشون به خدا اعتماد و توکل دارن🎀 **همه چیز از فکر آغاز می‌شود ،فکر ما تبدیل به احساس می‌شود و احساس در ما باعث بروز یک رفتار می‌شود.و این رفتار ما پس از مدتها عادت و سپس تبدیل به شخصیت ما می‌شود☝🏻**

حس میکنم میخوای پسر باشه 😕

چه اشکالی داره؟منم دلم بچه ی پسر میخواد

نر های سایت اگه بهم درخواستی بدن تگشون میکنم و آبرو براشون نمی‌ذارم.😤مخالف سر سخت کودک همسری هستم⛔.عادت ندارم به کسی توهین کنم مگر این که خودش احترام نگه نداره🤷.خیلی سخت به عشقم رسیدم پس اگه می‌بینید زیاد در موردش تاپیک میزنم بخاطر اینه فعلا اولویت زندگیمه🥹♥️گاهی اوقات نسبت های فامیلی رو دقیق نمیگم‌تو تاپیک هام که شناسایی نشم حلال کنید🙏

[QUOTE=404826030]حس میکنم میخوای پسر باشه 😕[/QUO

مهم سالم بودن سه اول من الان 16هفته هستم دوبار سونو که دارم هیچی نمیگن الان تو دوست نداری جنسیت بچتو زود تر بدونی

[QUOTE=404826030]حس میکنم میخوای پسر باشه 😕[/QUOمهم سالم بودن سه اول من الان 16هفته هستم دوبار سونو ...

درسته ولی خیلی تاکید داشتی رو پسر ! حس کردم ذوق اینو داری پسر باشه !

خدا همیشه بهترینهاشو به کسایی میده که در انتخاب‌هاشون به خدا اعتماد و توکل دارن🎀 **همه چیز از فکر آغاز می‌شود ،فکر ما تبدیل به احساس می‌شود و احساس در ما باعث بروز یک رفتار می‌شود.و این رفتار ما پس از مدتها عادت و سپس تبدیل به شخصیت ما می‌شود☝🏻**

درسته ولی خیلی تاکید داشتی رو پسر ! حس کردم ذوق اینو داری پسر باشه !

اره دوست دارم پسر باشه بچه اولم دختره آخه سونو گفتن پسر دکتر هم مطب سونو گفت احتمال پسر بخاطر اون پرسیدم

اینکه یه زن دلش بچه ی پسر بخواد هم جنس خودش که دختره و نخواد یکم قابل تامل ه ! 😬 ظالمانه اس

ظالمانه نیست.من خودم پریود های خیلی دردناکی دارم واسه همین نمیخوام از خودم به دخترم به ارث برسه

نر های سایت اگه بهم درخواستی بدن تگشون میکنم و آبرو براشون نمی‌ذارم.😤مخالف سر سخت کودک همسری هستم⛔.عادت ندارم به کسی توهین کنم مگر این که خودش احترام نگه نداره🤷.خیلی سخت به عشقم رسیدم پس اگه می‌بینید زیاد در موردش تاپیک میزنم بخاطر اینه فعلا اولویت زندگیمه🥹♥️گاهی اوقات نسبت های فامیلی رو دقیق نمیگم‌تو تاپیک هام که شناسایی نشم حلال کنید🙏

اره دوست دارم پسر باشه بچه اولم دختره آخه سونو گفتن پسر دکتر هم مطب سونو گفت احتمال پسر بخاطر اون پر ...

امیدوارم هر چی خودت دوس داری و صلاحته همون بشه.یه عده فکر میکنن این اجازه رو دارن حتی دخالت کنن که چی میخوایم و چی نمیخوایم

نر های سایت اگه بهم درخواستی بدن تگشون میکنم و آبرو براشون نمی‌ذارم.😤مخالف سر سخت کودک همسری هستم⛔.عادت ندارم به کسی توهین کنم مگر این که خودش احترام نگه نداره🤷.خیلی سخت به عشقم رسیدم پس اگه می‌بینید زیاد در موردش تاپیک میزنم بخاطر اینه فعلا اولویت زندگیمه🥹♥️گاهی اوقات نسبت های فامیلی رو دقیق نمیگم‌تو تاپیک هام که شناسایی نشم حلال کنید🙏

آخه تی نی نی سایت فک کنم بچه پسر ممنوعه🤣🤣🤣🤣🤣من ی دختر دارم خیلی دوست دارم اینم پسر باشه

یه سری شعار های مسخره یاد گرفتن نمیدونن کجا ازش استفاده کنن

نر های سایت اگه بهم درخواستی بدن تگشون میکنم و آبرو براشون نمی‌ذارم.😤مخالف سر سخت کودک همسری هستم⛔.عادت ندارم به کسی توهین کنم مگر این که خودش احترام نگه نداره🤷.خیلی سخت به عشقم رسیدم پس اگه می‌بینید زیاد در موردش تاپیک میزنم بخاطر اینه فعلا اولویت زندگیمه🥹♥️گاهی اوقات نسبت های فامیلی رو دقیق نمیگم‌تو تاپیک هام که شناسایی نشم حلال کنید🙏

اره دوست دارم پسر باشه بچه اولم دختره آخه سونو گفتن پسر دکتر هم مطب سونو گفت احتمال پسر بخاطر اون پر ...



ایشالا به مراد دلت برسی

خدا همیشه بهترینهاشو به کسایی میده که در انتخاب‌هاشون به خدا اعتماد و توکل دارن🎀 **همه چیز از فکر آغاز می‌شود ،فکر ما تبدیل به احساس می‌شود و احساس در ما باعث بروز یک رفتار می‌شود.و این رفتار ما پس از مدتها عادت و سپس تبدیل به شخصیت ما می‌شود☝🏻**

ظالمانه نیست.من خودم پریود های خیلی دردناکی دارم واسه همین نمیخوام از خودم به دخترم به ارث برسه

فقط برا پریودی !!! عجب ! باشه

خدا همیشه بهترینهاشو به کسایی میده که در انتخاب‌هاشون به خدا اعتماد و توکل دارن🎀 **همه چیز از فکر آغاز می‌شود ،فکر ما تبدیل به احساس می‌شود و احساس در ما باعث بروز یک رفتار می‌شود.و این رفتار ما پس از مدتها عادت و سپس تبدیل به شخصیت ما می‌شود☝🏻**

فقط برا پریودی !!! عجب ! باشه

اره.چندین ساله دارم اذیت میشم هزار جور دکتر رفتم هر بار هم میرم زیر سرم واقعا نمیخوام بچم همچین چیزی رو تجربه کنه

نر های سایت اگه بهم درخواستی بدن تگشون میکنم و آبرو براشون نمی‌ذارم.😤مخالف سر سخت کودک همسری هستم⛔.عادت ندارم به کسی توهین کنم مگر این که خودش احترام نگه نداره🤷.خیلی سخت به عشقم رسیدم پس اگه می‌بینید زیاد در موردش تاپیک میزنم بخاطر اینه فعلا اولویت زندگیمه🥹♥️گاهی اوقات نسبت های فامیلی رو دقیق نمیگم‌تو تاپیک هام که شناسایی نشم حلال کنید🙏

ارسال نظر شما

کاربر گرامی جهت ارسال پست شما ملزم به رعایت قوانین و مقررات نی‌نی‌سایت می‌باشید

2790
2778
2791
2779
2792