2777
2789
عنوان

دندونم خرابه چیکارکنم

30 بازدید | 6 پست

سلام دوستان درد شدید دندون گرفتم رفتم دکتر گفت این دندون خرابه و به عصب نزدیکه نمیتونم بدون جراحی بکشمش (دندون عقل سمت چپ)

دارم مسکن و همچین داروهای میخورم ورک خشک کن و مسکن و آمپول هم زدم .

الان تا یک ماه دیگه پول ندارم جراحیش کنم چون کلی وسیله برای کارم خریده بودم 

چیکارکنم ببینید عکسارو

بنظرتون برم جایی دیگه بدون جراحی برام نمیکشن؟

سلام محتاج یه دعای کوچیکی ازتون هستم دعاکنید برای مامانم و خواهر برادرم

یه چیزی بهت بگم؟ همین الان برای خودت و عزیزات انجام بده.

من توی همین نی نی سایت با دکتر گلشنی آشنا شدم یه کار خیلی خفن و کاملاً رایگانی دارن که حتماً بهت توصیه می کنم خودت و نزدیکانت برید آنلاین نوبت بگیرید و بدون هزینه انجامش بدید.

تنها جایی که با یه ویزیت آنلاین اختصاصی با متخصص تمام مشکلات بدنت از کمردرد تا قوزپشتی و کف پای صاف و... دقیق بررسی می شه و بهت راهکار می دن کل این مراحل هم بدون هزینه و رایگان.

لینک دریافت نوبت ویزیت آنلاین رایگان

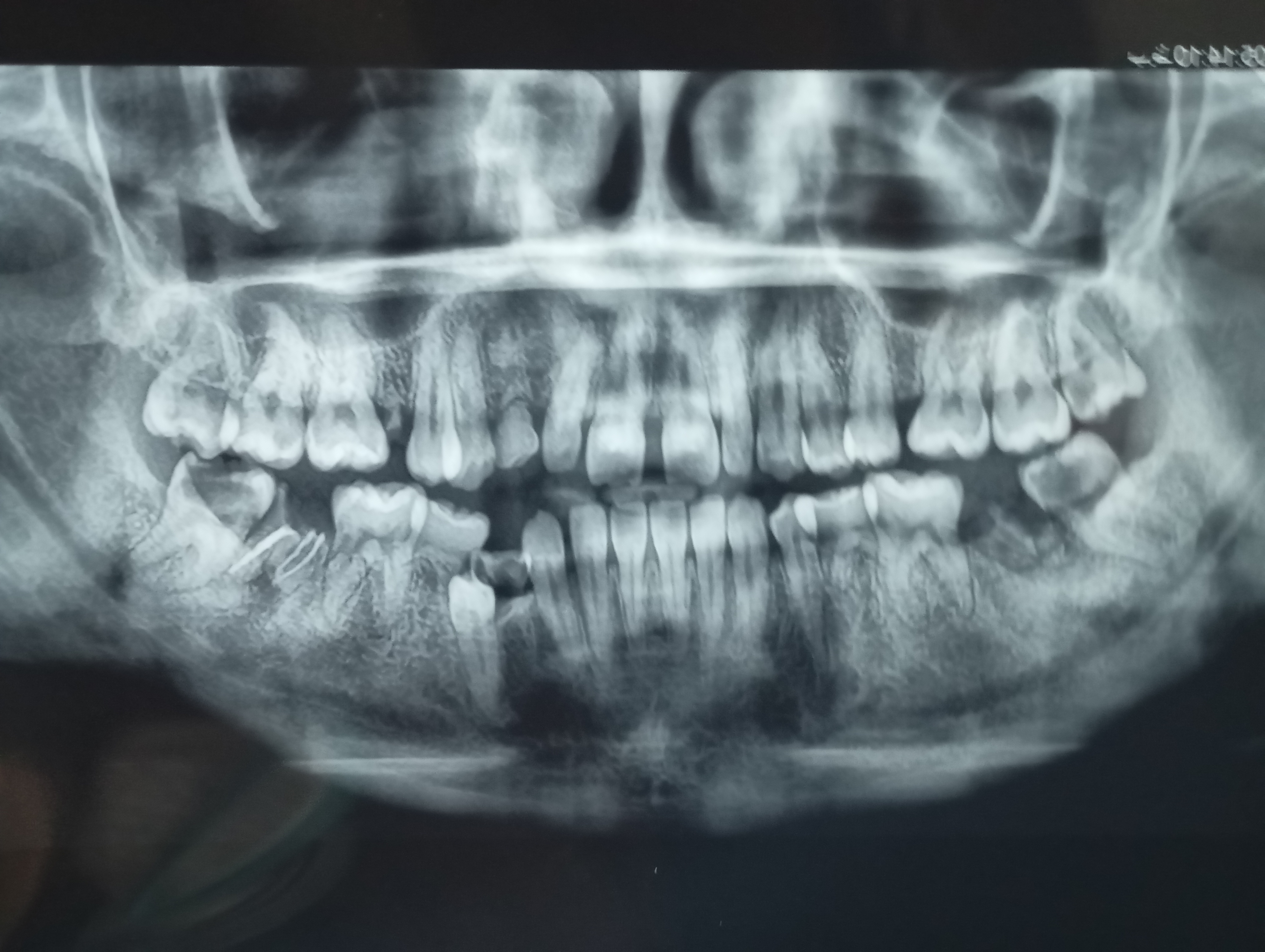
ببینید دوطرف که علامت زدم دوتا شکسته فقط ریشه مونده دوتایی دندون عقل هم پوکیدن شاید برم جایی دیگه قبول کنه فقط بکشه دندونارو بدون جراحی ولی اون دکتر گفت نه جراحی و من تا یک ماه هزینه جراحی ندارم و درد شدید شدید میگیرم غذا نون و چایی خوردم 

میگید چیکارکنم؟

سلام محتاج یه دعای کوچیکی ازتون هستم دعاکنید برای مامانم و خواهر برادرم

ببینید دوطرف که علامت زدم دوتا شکسته فقط ریشه مونده دوتایی دندون عقل هم پوکیدن شاید برم جایی دیگه قب ...

یعنی دندون اگه نزدیک به عصب باشه نمیشه بدون جراحی کشیدش؟

سلام محتاج یه دعای کوچیکی ازتون هستم دعاکنید برای مامانم و خواهر برادرم

از یه طرف باید توان رفتن سرکار داشته باشم تا پول جراحیش تا یک ماه جور کنم

از درد تب و لرز دارم بی خوابی خستگی زیاد 

سلام محتاج یه دعای کوچیکی ازتون هستم دعاکنید برای مامانم و خواهر برادرم

ارسال نظر شما
این تاپیک قفل شده است و ثبت پست جدید در آن امکان پذیر نیست

کاربر گرامی جهت ارسال پست شما ملزم به رعایت قوانین و مقررات نی‌نی‌سایت می‌باشید

2790
2778
2791
2779
2792