2777
2789
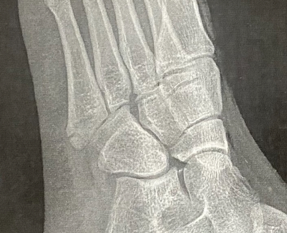
آره، اگه شکستگی ساده باشه و جابه‌جایی نداشته باشه، با اتل و بی‌حرکتی جوش می‌خوره. ولی اگه جابه‌جایی داشته باشه، ممکنه بخواد پزشک مداخله کنه.

سلام عزیزای دل 💛من دانشجوی کارشناسی ارشد روان‌شناسی بالینی‌ام و با تمام وجودم اینجایم که کمک‌تون کنم . هدفم از حضورم در نی نی سایت اینه که بتونم همراه و همدل شما باشم تا هر مشکلی که ذهنتون رو درگیر کرده، زودتر و راحت‌تر حل بشه 🌱با استفاده از درس‌هایی که در این رشته خوندم و تجربه‌هایی که توی این سال‌ها به دست آوردم، سعی می‌کنم شنونده‌ی خوبی باشم و راهکارهایی رو پیشنهاد بدم که واقعا به دردتون بخوره ❤️اگه حس می‌کنی نیاز به کسی داری که با دل و جون بهت گوش بده و کمکت کنه، خوشحال می‌شم در کنارت باشم 🤗💬 اگه فکر میکنی نیاز به مشاوره بیشتری داری، می‌تونی به کانال تلگرامم سر بزنی. من هر روزه کتاب‌هایی می‌خونم که نکات طلایی و کاربردی برای حل مشکلات روزمره و بهبود روابط به شما میده. این نکات رو توی کانال با شما به اشتراک می‌ذارم.آیدی کانال: @Ravabet_Zan_Aramesh حتماً اگه مفید بود، با دوستات هم به اشتراک بذار!

یه چیزی بهت بگم؟ همین الان برای خودت و عزیزات انجام بده.

من توی همین نی نی سایت با دکتر گلشنی آشنا شدم یه کار خیلی خفن و کاملاً رایگانی دارن که حتماً بهت توصیه می کنم خودت و نزدیکانت برید آنلاین نوبت بگیرید و بدون هزینه انجامش بدید.

تنها جایی که با یه ویزیت آنلاین اختصاصی با متخصص تمام مشکلات بدنت از کمردرد تا قوزپشتی و کف پای صاف و... دقیق بررسی می شه و بهت راهکار می دن کل این مراحل هم بدون هزینه و رایگان.

لینک دریافت نوبت ویزیت آنلاین رایگان

آره، اگه شکستگی ساده باشه و جابه‌جایی نداشته باشه، با اتل و بی‌حرکتی جوش می‌خوره. ولی اگه جابه‌جایی ...

جابه جایی نداشته با اینکه ۱۴ روز روش راه رفتم بعد که عکس گرفتم هیچ جابه جایی نداشت فقط نگران اینم که با اتل جوش میخوره یا نه🥲🥲🥲 

ارسال نظر شما

کاربر گرامی جهت ارسال پست شما ملزم به رعایت قوانین و مقررات نی‌نی‌سایت می‌باشید

2790
2778
2791
2779
2792